고양이 신경질환 진단 및 치료 새로운 가능성 제시...수술없이 보존적 치료로 호전 가능성 보여줘

홍연정(웨스턴동물의료센터) 대표원장 등 외 3인이 고양이에서 매우 드물게 발생하는 요추 원외측 추간판 탈출(Far lateral lumbar intervertebral disc extrusion) 증례를 세계 최초로 MRI 영상으로 보고했다.
이번 연구는 국제 학술지 체코 수의학 저널 「Veterinární Medicína」에 게재돼 고양이의 신경질환 진단과 치료에 새로운 가능성을 제시했다.
이번 논문은 홍연정 대표원장을 비롯해 채형규(웨스턴동물의료센터) 수의사와 장유정(마이동물병원 영상의학과) 수의사가 공동으로 진행, 고양이에서 급성 편측 골반지 절뚝거림을 유발한 원인을 MRI로 정밀하게 규명했다.
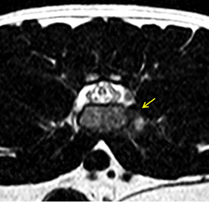
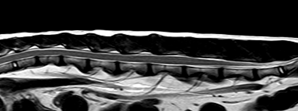
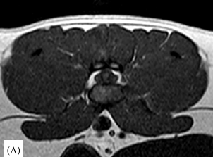
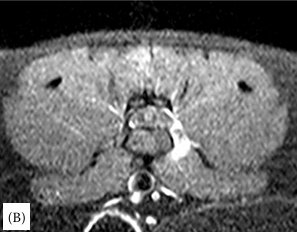
연구 대상은 4세 장모 고양이로 갑작스러운 좌측 후지 절뚝거림과 점프 회피 증상을 보였다. MRI 검사 결과, L6–L7 추간판이 원외측으로 탈출해 신경근을 압박하고, 국소 염증을 동반한 사실이 밝혀졌다. 이는 지금까지 개에서만 드물게 보고된 질환으로 고양이에서는 최초 사례다.
치료 과정에서 일반 소염제는 효과가 없었으나 프레드니솔론(스테로이드) 치료를 통해 15일 만에 임상 증상이 완전히 소실되며 성공적인 회복을 보였다. 이는 고양이에서 수술 없이도 보존적치료로 호전될 수 있음을 보여준 중요한 임상적 의미를 가진다.
홍연정 대표원장은 “이번 연구는 고양이의 급성 절뚝거림이 반드시 정형외과적 문제만은 아니라는 점을 보여주며, 신경학적 질환을 반드시 감별해야 한다는 임상적 시사점을 제공한다”며 “웨스턴동물의료센터는 국내 반려동물의료 발전을 위한 연구를 지속적으로 이어가겠다”고 밝혔다.
이번 논문 게재는 고양이 신경질환 진단의 새로운 영역을 개척했다는 점에서 국내 수의학계에 큰 의미를 갖는다. 국제적으로도 고양이 척추질환 연구의 새로운 참고 문헌으로 활용될 전망이다.



